عالم ألماني: مخ الإنسان يمكن تدريبه كأي عضلة بالجسم

469

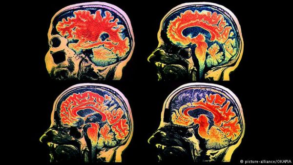
19550727_303الحكمة – متابعة: قام باحثون ألمان بدراسة المخ عن كثب واكتشفوا أنه يمكن تدريب المخ على استدعاء المعلومات من الذاكرة، وأنه هنالك مناطق معينة في المخ تكبر بعد الاستخدام المستمر مثلما يحدث مع أي عضلة بالجسم يتم تدريبها.

تُرى هل يمكن أن يصدأ مخ الإنسان، حال استخدمه بمعدل محدود؟! في هذا السياق أوضح البروفيسور لارس شفابه، رئيس قسم علم النفس المعرفي بجامعة هامبورغ الألمانية: “لا يتعلق الأمر باختفاء معلومات من الذاكرة، ولكن تصعب إمكانية الوصول إليها، حال عدم استدعائها لفترات طويلة”.

لذا أوصى شفابه من لا يرغب في البحث عن كل صغيرة عبر محرك البحث “غوغل” بتدريب مخه وكأنه عضلة، موضحا أنه يمكن القيام بذلك مثلا من خلال الاستعانة بكتاب، بحيث يتم القراءة فيه، ثم إغلاقه، ثم محاولة استدعاء المعلومات الجديدة من الذاكرة مباشرة.

وأضاف العالم الألماني قائلا: “قام باحثون بفحص ما يحدث عند القيام بذلك بشكل مكثف لدى سائقي سيارات أجرة في لندن”. وأوضح أنه نظرا لوصول هؤلاء الأشخاص لذاكرتهم المكانية بصورة مستمرة، أظهرت تقارير رسم المخ لديهم أن المنطقة المعنية بذلك في المخ كانت أكبر حجما من نظيرتها لدى غيرهم، وبذلك تبين أن هناك مناطق معينة بالدماغ تكبر أيضا مثلما يحدث مع أي عضلة بالجسم يتم تدريبها.

ز.أ.ب/ ط.أ (د ب أ)

اترك رد

لن يتم نشر عنوان بريدك الإلكتروني.

*